2023-04-06 13:51:33 作者:郑珊珊
数字经济蓬勃发展,各种新技术正在高速向我们的工作和生活渗透。连日来热度不减的ChatGPT引发社会关注,其背后的核心技术人工智能,更是成了两会期间的“高频词”,让我们看到人工智能助力行业发展的更多可能性。
近年来,国家颁布一系列法规和政策鼓励高端医学影像设备的创新,加快医疗器械的审查和批准。尤其是随着计算机辅助诊断、AI定量分析技术、AI辅助治疗技术等前沿技术在临床领域广泛应用,我国高端医疗设备加速迈进更新换代新阶段。
在此背景下,一批高科技医疗技术企业涌入高端医疗设备领域,开启了新一轮科技竞速。
Medic Vision:老牌影像重建增强公司
作为最早提出使用机器学习来做图像重建增强概念的公司,Medic Vision成立于2006年,总部位于以色列,其旗下革新3D迭代影像增强产品iQMR以及SafeCT,已在全球范围500多家大型医院和影像中心实现常规临床应用。
其中,iQMR在获得美国FDA认证后,已于2021年1月获得中国国家药品监督管理局NMPA的进口医疗器械认证。截至目前,Medic Vision已向中国的医疗保健中心和诊断成像提供商提供多个iQMR系统,成功优化诊断成像服务市场,提升患者体验。
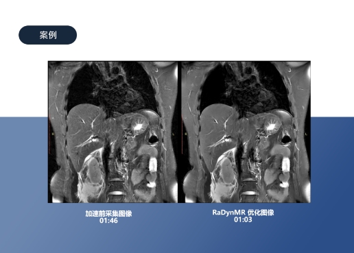
影动医疗:影像重建增强技术“国家队”
成立于2020年的影动医疗,是我国医疗领域中一家比较年轻的创业公司。创始人龚南杰博士是清华海峡研究院智能医学影像实验室主任,加州大学伯克利医学影像博士后,技术专攻方向为AI医学影像、先进成像技术的转化应用,其技术团队已累计申请国内专利20余项,获批授权多项,申请国际PCT专利多项。
作为一家拥有中国团队、中国研发、中国数据的影像重建增强技术“国家队”企业,影动医疗在技术、临床部署、市场等方面的团队配置齐全,其通过构建AI医学影像重建增强系统,破解医学图像在实际应用过程中存在的诸如成像时间长、噪声干扰、对比度低、分辨率低、辐射危害大等难题,为医生和患者提供更优质的影像检查解决方案。

影动医疗已经与数十家顶尖医疗院校、医院及第三方影像中心开展前沿合作。截至目前,其自主研发的成像重建增强产品RaDynPET、RaDynMR、RaDynCT、RaDynSPECT覆盖面最为广泛,已在上海长海医院,北京大学附属第三医院等各大医院、体检中心展开临床应用。
Subtle Medical:全美资AI医学影像公司
Subtle Medical(又称“深透医疗”)是一家全美资美国公司,总部位于硅谷,投资方包括美国资本Data Collective,Breyer Capital,Bessemer Venture Partner,同时与美国联邦政府签署数据共享协议,受到美国NIH(国立卫生研究院)和美国财政部的资助,与美国军方合作,在中美两国开展业务。
Subtle Medical的类似产品在MR和PET领域,其中MR通过降噪来提高图像质量,PET采用降噪技术来提高PET图像质量,除此之外这家公司主要聚焦于磁共振GAD造影剂产品和磁共振影像对比图生成产品。
近年来,Subtle Medical的实控人在中国注册多个主体,但当下数据安全问题得到前所未有的重视,考虑到Subtle Medical的特殊身份以及其背后资本,有一定的监管风险,国内的很多医疗机构在采用其旗下产品的时候会更加谨慎。
除了一些头部公司,还有一些国内外的影像设备厂商也纷纷在这个赛道发力,其中GE医疗、飞利浦、西门子医疗、联影医疗、迈瑞医疗位于第一梯队,开立医疗、佳能医疗(东芝)等处于第二梯队,当前厂商“混战”竞争激烈。
随着技术水平的突飞猛进以及政策的陆续出台,医疗器械“国产替代”步伐的加快。2021年10月,国家财政部及工信部联合发布《政府采购进口产品审核指导标准(2021 年版)》,明示了政府/事业单位采购国产医疗器械及仪器“建议”的比例,日前江西等一些地方政府也已经下发了采购国产医疗设备的正式公告。此外,在今年两会上,也有不少代表委员都在呼吁提升医学装备国产化率,这意味着在医疗器械方面“国产替代”开启了前所未有的加速度,这也为很多拥有自研能力的中国医疗企业和设备厂商提供了发展沃土。
数据显示,2017—2021年,我国医学影像设备市场规模从655亿元增长到954亿元,年均复合增长率为9.8%,预计2026年市场规模将增长到1486亿元,2021—2026年的年均复合增长率为9.3%,高于全球医疗影像设备市场同期增速。
技术的高速发展与产业转型需求同频共振,期待在人工智能技术加持下,智能医疗行业将迎来更快的发展,推出更优质的医疗设备满足患者的需求,进而推动我国医疗事业高质量发展。
编辑:杨文博